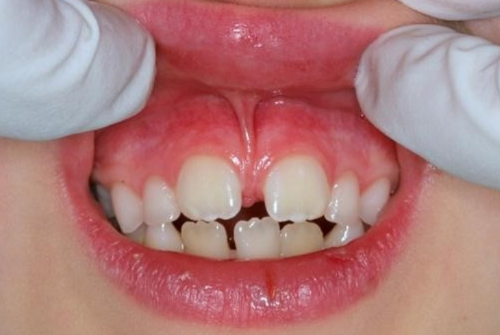
Soft Tissue Surgery
Soft tissue surgery includes frenectomy, lesion removal, and periodontal therapy to treat gum and oral tissue issues, restore function, prevent disease, promote healing, enhance aesthetics, and maintain healthy, confident smiles with precise, gentle, and effective care.