Jubilee Dental Care

Prosthodontics

Prosthodontics focuses on restoring and replacing missing teeth to improve function, comfort, and aesthetics. The following services are included, offering customized solutions to rebuild your smile and enhance your oral health with precision and natural-looking results.

Tooth Replacement

Restoring missing teeth using implants, bridges, or dentures to improve chewing, speech, and smile aesthetics. Replacing lost teeth prevents bone loss and supports proper alignment and long-term oral health.

Jubilee Dental Care
Jubilee Dental Care

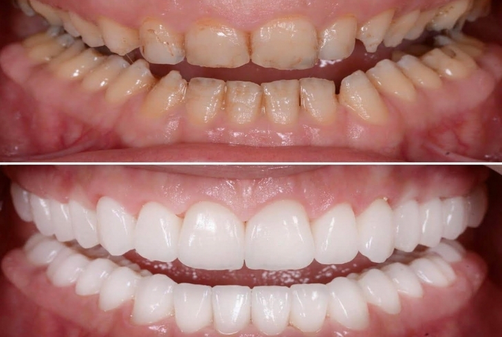
Crowns and Bridges

Crowns protect and restore damaged teeth, while bridges replace missing ones by anchoring artificial teeth to adjacent healthy teeth. These restorations enhance appearance, function, and provide long-lasting strength to compromised dental structures.

Dental Veneers / Laminates

Thin, custom-made shells placed over front teeth to improve shape, color, and alignment. Veneers offer a quick, long-lasting, and natural-looking solution for stained, chipped, uneven, or slightly misaligned teeth.

Jubilee Dental Care
Jubilee Dental Care

Full Mouth Rehabilitation

Comprehensive treatment combining restorative and cosmetic procedures to rebuild all teeth in the upper and lower jaws. Ideal for patients with extensive dental issues, it restores function, aesthetics, and overall oral health.

Smile Design and Makeovers

Personalized cosmetic treatments like veneers, whitening, and contouring to enhance your smile. Digital planning ensures precision and balance, creating a confident, harmonious smile that complements your facial features and personality.

Jubilee Dental Care
Jubilee Dental Care

Metal Free Crowns

Aesthetic dental crowns made from ceramic or zirconia that closely match natural teeth. These crowns are strong, biocompatible, and ideal for restoring damaged or root canal-treated teeth without visible metal lines.

Complete Dentures

Complete dentures that bring back chewing strength, clear speech, facial support, and the confidence to smile freely again every day, restoring comfort, natural appearance, balanced bite, improved nutrition, enhanced social interactions, and long-lasting oral function for overall health, wellbeing, happiness.

Jubilee Dental Care
Jubilee Dental Care

Removable Partial Dentures

Removable partial dentures restore missing teeth, improve chewing and speech, protect remaining teeth, maintain alignment, support facial structure, enhance comfort, affordability, and appearance, while boosting daily confidence, oral health, function, and natural smiles for long-term satisfaction and overall patient wellbeing.

Precision Attachments

Precision attachment dentures provide secure, discreet retention, enhanced stability, improved comfort, natural aesthetics, and easy removability while protecting remaining teeth, preserving oral structures, restoring function, and delivering confident smiles with advanced, reliable, long-lasting prosthetic solutions for everyday comfort and confidence.

Jubilee Dental Care